Bé trai 18 tháng nhập viện trong tình trạng tím tái vì ăn phải hạt quả hồng
Gia đình cháu Phạm Tùng D. (18 tháng tuổi, ở xã Minh Châu, huyện Vân Đồn, tỉnh Quảng Ninh) cho biết, ngày 31/10 khi gia đình đang ăn quả hồng, cháu D. cũng cầm một miếng để ăn.
Do người lớn không để ý, cháu D. đưa cả hạt hồng vào miệng. Sau đó bất ngờ cháu D. xuất hiện cơn ho khiến hạt hồng rơi xuống họng.
Ngay khi thấy biểu hiện bất thường, gia đình đã đưa bé tới Trung tâm y tế huyện Vân Đồn sơ cứu. Tuy nhiên các biểu hiện bệnh vẫn không thuyên giảm, thậm chí còn nặng hơn nên cháu được chuyển đến Bệnh viện Sản Nhi Quảng Ninh cấp cứu.

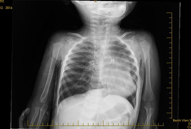
Hình ảnh phim chụp thấy rõ dị vật.
Bác sĩ khoa Hồi sức Cấp cứu (Bệnh viện Sản Nhi Quảng Ninh) cho biết, khi nhập viện bé D. đã ở trong tình trạng ho sặc sụa, khó thở, tím tái, suy hô hấp.
Kết quả chẩn đoán hình ảnh cho thấy, cháu D. có dị vật trong đường thở, gây tắc phế quản gốc phải. Sau đó, các bác sĩ đã chỉ định nội soi khí phế quản.
Cuộc phẫu thuật kéo dài khoảng 30 phút. Sau khi lấy được dị vật thành công, chức năng hô hấp của cháu D. được phục hồi tốt, bé được chuyển về khoa Hồi sức cấp cứu để theo dõi chặt chẽ.

Các bác sĩ đang tiến hành nội soi gắp dị vật.
Bác sĩ Phạm Đăng Hùng (khoa Hồi sức Cấp cứu) cho biết, dị vật đường thở là tình trạng bệnh lý rất nguy hiểm, có thể gây suy hô hấp, thậm chí là tử vong nếu không được phát hiện và xử trí kịp thời.
Bác sĩ Hùng, khuyến cáo để tránh những tai nạn đáng tiếc này, các bậc phụ huynh cần quan tâm chăm sóc giám sát trẻ ngay cả khi ăn uống và lúc vui chơi.
Nếu trẻ bị dị vật đường hô hấp, sau khi cấp cứu tức thì, hãy nhanh chóng chuyển trẻ đến bệnh viện tuyến trên trong thời gian sớm nhất có thể để công tác xử lý cấp cứu được kịp thời và ít tai biến, biến chứng.
>> Xem thêm: Muốn con không bị tử vong vì hóc dị vật, phụ huynh phải làm ngay điều này





In bài viết

















